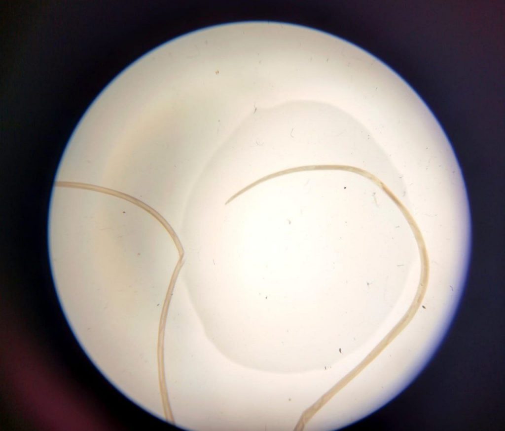
Цьогоріч у Запоріжжі виявили захворювання на дирофіляріоз. Паразита виявили у повіці ока пацієнта.
У першому півріччі 2025 року в місті Запоріжжя виявили один випадок дирофіляріозу. Як повідомили в обласному ЦКПХ, паразита видалили з повіки ока пацієнта.
Зазначається, що в Запоріжжі захворювання на дирофіляріоз виявляється спорадично. У 2023 році було зареєстровано три випадки хвороби, у 2024 році — п’ять.
Дирофіляріоз – це паразитарне захворювання, яке спричиняють гельмінти роду Dirofilaria. Найчастіше його реєструють серед домашніх тварин, таких як собаки та коти, а також у хижаків. Але від них людина безпосередньо заразитися не може.Це відбувається лише через укус інфікованою комахою, найчастіше комаром, який насмоктався крові зараженої тварини.
Перші симптоми захворювання – безболісна пухлина. Інфікована людина може відчувати в тому місці свербіж і печіння. Гельмінт може мігрувати і хворий може помічати пересування чи ущільненні пухлини під шкірою. Відстань, на яку переміщується гельмінт, складає до десятків сантиметрів, а швидкість міграції – до 30 см за 2 доби.
Первинний діагноз такому пацієнту у більшості випадків ставлять як фіброма, атерома, кіста чи пухлина. Якщо гельмінта несвоєчасно видалити, він може загноїтися і розвинутися абсцес. Дирофілярія також може уражати очі, суглоби, внутрішні органи. Такі випадки фіксували в Австралії, Якщо уражені очі, то це супроводжується появою вузлів під шкірою повік або кон’юнктивою. Можуть набрякати повіки та тексти сльози.
Однак частіше паразит уражає ділянки спини, плеча та передпліччя. Видаляють паразита оперативно, і вилучають, як правило, одного живого гельмінта довжиною 10-15 см.

Людина може себе захистити різного роду репелентами – препаратами, що відлякують комарів і мошкару. Можна використовувати електрофумігатори з інсектицидними пігулками або рідинами. Радять також носити спеціальний одяг, накидки на голові, засітчувати вікна і двері.